Sobredentadura con Barra de Titanio
REHABILITACION COMPLETA CON BARRA SOBRE 8 IMPLANTES

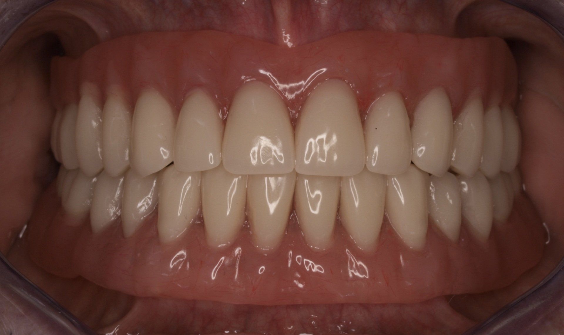
RESULTADO FINAL
Dr. José L.Marcos Hernán
Dr. José L.Marcos Hernán
Createch
Createch
Lab. Tecnident, Madrid. Spain
Dr. José Luis Marcos Hernán
Dr. José Luis Marcos Hernán
Dr. José Luis Marcos Hernán
